High Oaks Dental offers a variety of teeth whitening treatments that will gently and safely whiten your teeth.
We offer home whitening kits with our ‘Award Winning’ wy10 home whitening kits.
This kit includes patented ‘perfect trays’ made by Dr Wyman Chan, which are proven to improve whitening results in comparison to traditional tray designs.
Within 2 weeks you can even out your tooth colour and improve it by up to 5 shades.
This product was used by Dr Shail Patel in whitening the 2014 X factor contestants.
We offer combination ’Award Winning’ Evolution 3 Enlighten kits which includes a home whitening kit and in surgery whitening serum. This is the only product on the market which guarantees you will achieve B1 shade results by the end of their 15 day treatment, or else they will provide free whitening until you do.
Unlike other systems, this system doesn’t require any lifestyle changes in your diet whilst performing the whitening treatment.
Enlighten’s Evolution professional teeth whitening treatment is the only system in the world that will whiten up to 16 shades easily and safely and will give you a dramatic look within 2 weeks.
The system uses state of the art materials which are so good that even the highest concentration of gel used is safe on the gums.
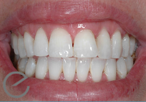
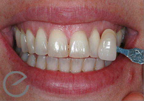
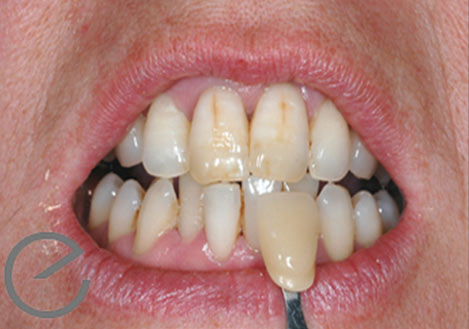
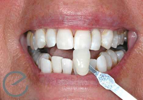
Before
After
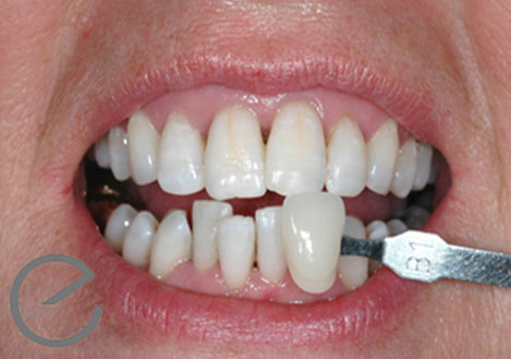
Before
After
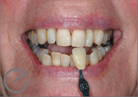
Before
After You will need to first have some impressions taken by one of our Enlighten accredited dentists. These impressions will be sent to our state of the art laboratory who will then make high quality sealed bleaching trays for you. This usually takes about two weeks. During this time you will need to use Enlighten’s amazing toothpaste called Tooth Serum twice a day instead of your regular toothpaste.
This is no ordinary toothpaste. It contains a material called Hydroxyapatite (HAP) which is what your Enamel is made of – 97% of it in fact! This HAP will not only improve the whitening effect but it will also protect your teeth and reduce any sensitivity.
Next you will go back to your dentist to pick up the bleaching trays and your home whitening kit. You will then need to whiten your teeth at home every night for two weeks. Make sure you keep using the Tooth Serum twice a day.
Finally you will return to your dentist for a 40 minute treatment in the surgery. Make sure you bring your whitening trays with you. This final treatment will not only boost the colour a little but will ensure the whitening is even and natural looking and help the colour to be more stable i.e. the whitening will last longer.
The good news is that now you can keep your teeth white forever! By keeping your trays safe and purchasing more home gel from your dentist you can top up every now and then.
Depending on lifestyle choices (meaning amount of coffee, tea, smoking you consume daily) our treatments last on average between 6-12 months before seeing any visible dulling of your sparkling teeth.
0% Interest payment plans are available for all these treatments.
For a CONSULTATION with our dentists call our team today on 01727 893 430 or email us at patients@highoaksdental.com to arrange your appointment today.





















